
責任者
前川 裕一郎

カテーテル室主任
大谷 速人

茂木 聡

佐藤 亮太

佐藤 照盛

水野 雄介

鈴木 佑一
虚血性心疾患に対しては学会の認定を受けた経験豊かな循環器専門医が、経皮的冠動脈インターベンション(PCI)として、ステント植え込み術、ロータブレーター、DCA(方向性冠動脈粥腫切除術)、薬剤溶出性バルーンなどの治療を使い分けて行なっています。
年間の心臓カテーテル検査は約900症例、アテレクトミー、ステント留置術をふくめた冠動脈形成術(PCI) は約280症例、90%以上の成功率が得られています。
当院では冠動脈造影はほぼ全員の患者さんに対して(透析の患者さんなど、橈骨動脈からのカテーテル挿入が好ましくない方は除く)、橈骨動脈から行っております。また、カテーテルによる治療(経皮的冠動脈形成術)も、患者さんの希望および状態を考慮し、可能な限り橈骨動脈から行っております。橈骨動脈からの検査及び治療の利点は、出血性合併症が少なく、検査あるいは治療後の安静時間が短くかつ活動制限が少ない事にあり、下肢(大腿動脈)から行う場合と比べて、患者さんの負担もかなり軽減されています。
現在のPCIの治療は、その良好な成績の為に風船拡張後にステント留置する方法がメインとなっています。しかし、ステントも万能ではなく、以下の治療法も行なっています。

①石灰化を強く伴った病変では風船やステントでは拡張できません。当院では石灰化を強く伴った、ステントによる拡張では不十分と思われる症例では積極的にロ―タブレ―ターと呼ばれる、石灰化を砕く機械を使用後、ステント留置を行い、良好な成績を収めております。当院の特色として、血液透析をしている患者の割合が高いことがあります。血液透析をしている患者さんは冠動脈に強い石灰化を伴っていることが多く、ステントによる拡張はできないで諦めている患者さんもいます。また複数の病気を抱えていることも多いため、体力的に冠動脈バイパス術が困難なことがあります。当院では、このような患者さんも積極的に受け入れ、ロータブレーターを使用して石灰化を砕き、PCIを行っています。

②ステントは金属で出来ているために血栓で詰まる可能性があるため、ステントをいれた患者さんは、ステント血栓症を予防するために抗血小板薬を長期間内服する必要があります。しかし、病状から抗血小板薬を長期間服用出来ない患者さんもいます。当院では、このような患者さんにDCAや薬剤溶出性バルーンを使用したPCIも行い、抗血小板薬の使用期間を短縮するPCIもおこなっています。

救急患者さんの受け入れも積極的に行っており、365日24時間体制で行っております。特に血行動態を破綻した重症の急性心筋梗塞の患者さんには、救急科医師、ICU医師と協力して補助循環装置の速やかな導入を行い、救命率を高める努力をしています。当院は臨床工学技士が365日24時間体制で病院に常駐しており、強力な補助循環装置である経皮的人工心肺装置を速やかに導入できる体制を取っています。

一般には冠動脈造影による狭窄度からPCIの必要性を判断します。しかし、冠動脈の狭窄の程度と心筋の虚血の程度は必ずしも一致しません。近年プレッシャーワイヤーによって実際に血流が阻害される程度を評価でき、より科学的に治療適応を判断することができるようになりました。プレッシャーワイヤーで計測した値は運動誘発性心筋虚血の有無を正確に表現しているのみでなく,心事故発生など予後とも密接に関連している値であることが証明されており,PCIの適応決定に極めて有用です.また,多枝疾患やび漫性病変などの複雑病変の治療戦略の決定にも有用です.当院では積極的にプレッシャーワイヤーを使用して、冠動脈血流の予備能を計測して、最適な治療方法を検討しています。
冠動脈内イメージングの技術進歩により、最近は動脈硬化の質を判定できるようになって来ました。特に光干渉断層法 (Optical Coherence Tomography: OCT)は近赤外線を用いた高解像度の画像構成技術で、最大の特徴はその高い解像度で血管内超音波検査(Intravascular Ultrasound:IVUS)の10倍の解像度を有しています。そのため,IVUSでは不可能であった血管の内膜・中膜・外膜の判別が可能で,プラークの性状や線維性被膜の厚さなども測定することができるようになりました。当院ではPCIのほとんどの症例に冠動脈内イメージング(IVUSまたはOCT)を使用して、プラークの性状判断をしています。プラークの性状が良くない患者さんには、冠動脈狭窄の進行予防目的として脂質を低下させる薬を積極的に使用して、PCIと薬物療法のハイブリッド治療を行っています。

左冠動脈主幹部病変(左冠動脈の付け根にせまい箇所がある)や三枝病変(右および左冠動脈前下行枝および回旋枝、3本の冠動脈全てにせまい箇所がある)と呼ばれる重症冠動脈疾患を有する患者さんにつきましても、循環器内科医および心臓外科医からなるカンファレンスによる議論を経て、患者さん個々に最適な治療法(カテーテルによる治療、冠動脈バイパス術、あるいはこれらの併用)を検討しています。

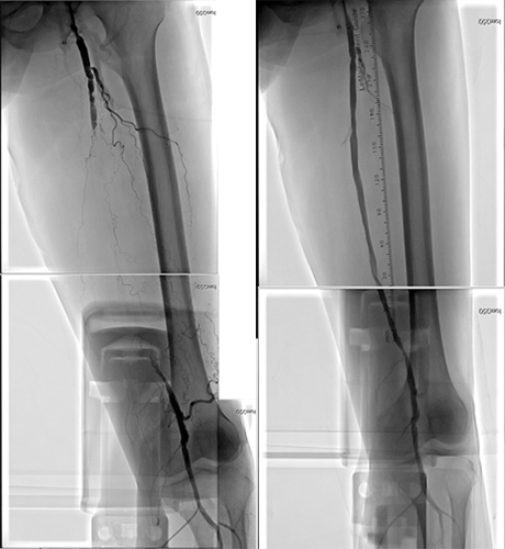
閉塞性動脈硬化症や血液透析患者さんの末梢動脈疾患の難治潰瘍に対して、経皮的血管形成術を施行しております。局所麻酔で行いますので、体力が少ない患者さんや全身麻酔が困難な患者さんにも治療可能です。治療の難易度が高い慢性完全閉塞病変については、必要に応じて両方向性アプローチや特別なテクニックを用いて、治療の成功率を高めるだけでなく、手術時間を短縮するようにしています。また腎血管性高血圧症についても腎動脈形成術による治療も施行しています。